近日,南昌市第三医院麻醉科、呼吸与危重症医学科,强强联合利用可视化麻醉技术成功为一尘肺病人行全肺灌洗术。患者术中生命体征平稳,麻醉苏醒良好,术后恢复良好,已无胸痛胸闷症状。
该患者是一位从事矿工10多年的工人,因“畏寒发热伴胸痛胸闷”入院,诊断为尘肺病。
01
肺泡灌洗术是怎么回事?
肺泡灌洗术是治疗肺泡蛋白沉积症有效的手段,它通过将灌洗液及药物注入肺泡腔内,反复冲洗,将肺泡腔内积聚的有害粉尘、吞尘巨噬细胞及其释放出的刺激纤维增生因子、炎性刺激因子等清除出体外,也就是俗称的“洗肺”。
全肺灌洗术
是一个麻醉难度系数较大的手术
主要体现在
1.必须确保两侧肺隔离完全可靠,否则灌洗液流入对侧肺会导致严重低氧血症手术失败甚至危及生命。要求全程支气管导管对位精准,支气管套囊封堵完全。
2.准确判断灌洗后的肺水吸收的情况,精准确定患者拔管时机。
看看两个精准
失之毫厘谬以千里
若处理不当
患者在灌洗过程中可能就出现
反复缺氧甚至治疗失败、危及生命
那我们的主角
“可视化”麻醉
出场啦
02
“可视化”麻醉到底是啥?
就是利用先进的可视设备,如视频喉镜、超声等,让麻醉医生多了一双眼睛,可以透过“现象”看“本质”。比如说神经阻滞麻醉,以往是靠“盲探”,现在是借助超声”指哪打哪“精准定位。
▲精准定位
来看看我们的医生是怎么做的
▲术前讨论,制定个性化麻醉方案
麻醉要点:
1、评估患者心肺功能,能否耐受单肺通气;
2、由于肺灌洗时需要一个通畅的液体流入与吸出的通道,故应选择尽量宽大的双腔管,我们需要找到气管最狭窄处并匹配相应的气管导管;
3、双腔管精准对位,支气管套囊的密封完善,保证灌洗过程中的有效隔离;
4、灌洗完成后,判断肺水吸收情况,并选择合适的拔管时机。
医生们绞尽脑汁
尽可能将问题想尽想全……
▲可视软镜定位
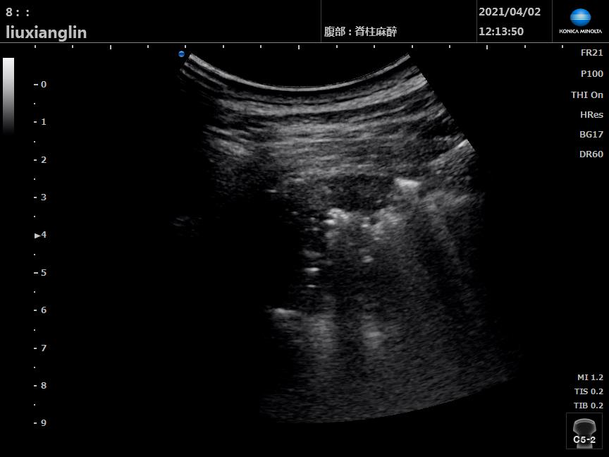
▲超声实时监测 灌洗侧肺超声声像可见“肺间质综合征→肺水肿→肺实变”
在我们呼吸科医生、麻醉科医生以及护理团队的共同努力下,该患者术中生命体征平稳,灌洗成功实施。
▲灌洗液由浊渐清
听起来
是不是感觉
简单了一些
的确,“可视化麻醉”带来了精准定位,能快速明确诊断、评估治疗效果、引导有创操作,不仅如此,还带来了精准镇痛,能减少麻醉药用量,提高麻醉耐受力,随之降低了因个人体质差异引发麻醉意外的风险,也减轻了患者术后的痛感,并为术后恢复“提速”。
“舒适医疗”与麻醉技术的发展密不可分,而我们麻醉医生的作用不仅仅是让手术更顺利,更体现在让病人享受到舒适、无痛的诊疗上,比如无痛支气管镜、无痛分娩、无痛胃肠镜……
总之,
安全舒适保健康
麻醉医生在身旁












