每一次抢救床急促的声音在急创大楼响起,都意味着一场生死时速的开场。
而身处这一场场“战役”中心的消化科医生护士们,便是这里最勇敢的战士,更是这块阵地上最冷静的指挥官。
他们敏捷和锐利,冷静而温情。
”
今天,让我们走进南昌大学第一附属医院消化内科,走进这个江西省首个国家重点临床学科,也走近这些“走路带风”的白衣天使们。
消化科急危重症
说到消化科,你想到的画面或许是这样:恶心呕吐拉肚子……
可是消化科不光存在这些生活中常见的疾病,更包含许多急危重症。消化系统急症具有急、危、重、难的特点,要求临床医生不仅具备广博的知识面,更要有快速的反应力和敏锐的决断力,方能救生命于瞬间。
南昌大学第一附属医院消化科历经数十年沉淀,紧跟前沿技术的发展步伐,不断推动学科发展,在各种消化道出血、急性化脓性胆管炎、重症胰腺炎、消化道异物、肠梗阻治疗等方面积累了丰富的临床经验,开展多项急诊内镜下、介入下诊疗技术,开通多条急诊绿色通道,提高患者救治成功率,为江西省消化疾病患者传福音。
上消化道出血
指屈氏韧带以上的消化道,包括食管、胃、十二指肠或胰胆等部位,其主要症状为呕血或黑粪,是常见的一种急症。据统计,成年人急性上消化道出血每年的发病率为100-180/10万,其中80%-90%的急性上消化道出血属于NVUGIB(非静脉曲张性上消化道出血),急性NVUGIB具有发病率、再出血率以及死亡率高的特点,其发病后7天再出血率为13.9%,死亡率为8.6%,需要紧急救治。
病例一:男,71岁,以“黑便2天,呕血1小时”,于南大一附院消化科就诊,以“上消化道出血”收治住院。
South Africa red wine
急诊胃镜示:十二指肠降段活动性渗血,予钛夹夹闭,检查诊断:十二指肠降段多发血管畸形并出血急诊钛夹止血术。
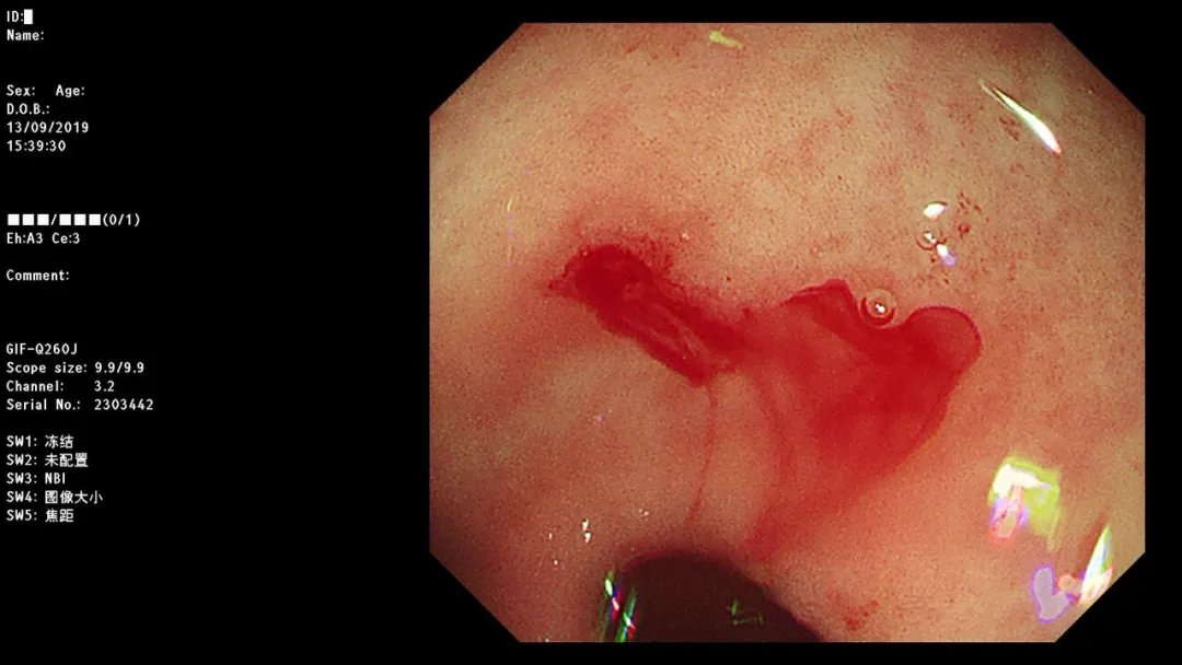
病例二:女,呕血1天,于南大一附院消化科就诊,以“上消化道出血”收治住院。
South Africa red wine
急诊胃镜示:小弯近胃窦侧活动性出血灶活动性渗血,采用OTSC吻合夹予以夹闭治疗,检查诊断:胃窦杜氏溃疡并出血OTSC吻合夹夹闭止血治疗术。
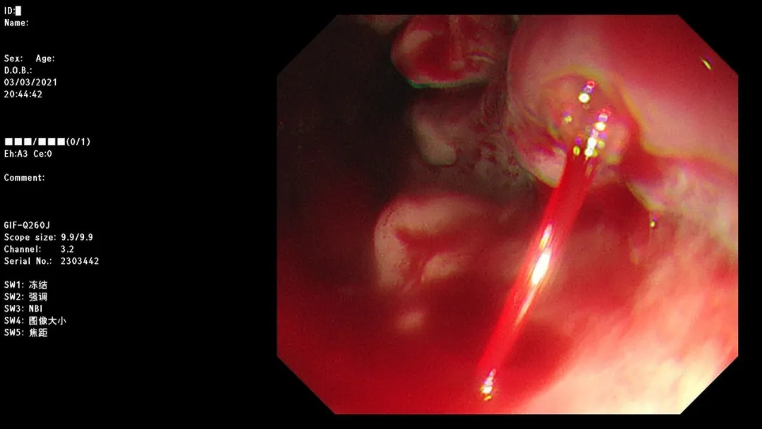
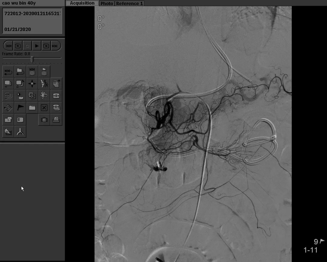
病例三:男,解暗红色血便10余天,外院胃肠镜无明显出血灶,以“消化道出血”收治住院。
South Africa red wine
急诊DSA示:空肠动脉分支出血,予空肠动脉栓塞术。
食管胃底曲张静脉破裂出血
是肝硬化门脉高压症最严重的并发症之一,是失代偿期肝硬化患者死亡的主要原因,其死亡率与肝功能分级呈线性相关,肝功能ABC级的死亡率分别为5%、18%、68%。内镜治疗旨在有效地控制曲张静脉破裂出血,包括食管曲张静脉套扎、食管曲张静脉硬化剂和组织胶注射等一线疗法,疗效可靠,为急诊病人的首选治疗。
病例一:女,36岁,呕血2天,既往有乙肝病史,于南大一附院消化科就诊。
South Africa red wine
急诊胃镜示:食管距门齿32cm处可见一破口活动性出血,予套扎器套扎治疗,术后无活动性出血,检查诊断:食管静脉曲张破裂出血。
病例二:男,49岁,黑便4天,既往有肝硬化病史,于南大一附院消化科就诊。
South Africa red wine
胃镜示:食管胃底静脉曲张,予胃底静脉曲张硬化剂+组织胶注射术,食管曲张静脉曲张套扎术。
病例三:男,50岁,呕血1天,既往有肝硬化病史,半月前曾套扎治疗,于南大一附院消化科就诊。
South Africa red wine
急诊胃镜示:食管距门齿35cm、32处各可见一破口活动性出血,予套扎器套扎治疗,术后无活动性出血,检查诊断:食管静脉曲张破裂出血急诊套扎术,食管套扎术后改变。
急性化脓性胆管炎
多数继发于胆管结石和胆道蛔虫病。本病好发年龄为40~60岁,病死率20%~23%,老年人的病死率明显高于其他年龄组。腹痛是本病的首发症状,常有反复发作的病史。疼痛的部位一般在剑突下和(或)右上腹部,为持续性,阵发性加重,可放射至右侧肩背部。发热是最常见的伴随症状。
病例一:男,49岁,腹痛伴高热1天入院,CT提示胆总管结石,于南大一附院消化科就诊。
South Africa red wine
急诊ERCP示:置管后可见脓性胆汁流出,检查诊断:胆总管结石并急性化脓性胆管炎,内镜下胆管支架置入术。
重症急性胰腺炎
是伴有全身及局部并发症的急性胰腺炎,属于急性胰腺炎的特殊类型,是一种病情险恶、并发症多、病死率较高的急腹症,占整个急性胰腺炎的10%~20%。20世纪80年代,多数病例死于疾病早期,直至近10年来,随着SAP外科治疗的进展,治愈率有所提高,但总体死亡率仍高达17%左右。70%~80%的重症急性胰腺炎是由于胆道疾病、酗酒和暴饮暴食所引起的。
病例一:女,36岁,暴饮暴食后腹痛2天,既往有4次急性胰腺炎,外院甘油三酯达40mmol/L,血淀粉酶1800U/L,被诊断急性胰腺炎。
病例二:男,44岁,暴饮暴食后上腹部持续剧烈疼痛和呕吐,增强CT示胰腺坏死和大量积液,被确诊为重症急性胰腺炎合并多器官衰竭。
南昌大学一附院消化科对于胆总管结石引起的胆源性胰腺炎,开展了24小时绿色通道急诊行ERCP和内镜下取石,对于后期胰腺坏死感染,开展了经胃与经皮内镜微创清创术,目前形成了以内科综合治疗和内镜微创治疗为特色,以多学科协作一体化全程管理模式,使重症胰腺炎患者病死率显著下降。
急诊肠道支架
在肠道狭窄的部位放置一个网状支架将肠道撑开,使狭窄或阻塞部位重新恢复通畅,可作为结直肠癌恶性梗阻的永久或暂时性治疗,并为择期手术创造条件。肠道支架适用于因腹部晚期恶性肿瘤侵犯、压迫或其他恶性病变导致十二指肠、小肠、结肠、直肠狭窄梗阻和吻合口狭窄的病人。
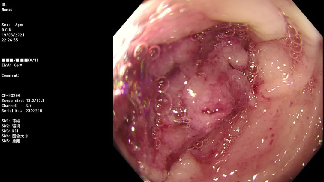
病例一:男,停止排气排便4天,CT提示乙状结肠占位,至急诊外科就诊。
South Africa red wine
急诊肠镜示:距肛门20cm新生物,占据肠腔全周,放入肠道支架通过狭窄段,粪水流出,检查诊断:乙状结肠癌并梗阻急诊肠道支架置入术。
胃肠道异物
异物绝大多数是吞入的好发生在婴幼儿和精神病或企图自杀者。因大块异物可暂时停留在咽下部或食管入口部位狭窄处,可堵塞气道引起严重并发症,甚至危及生命,故必须及时处理。
病例一:男,13岁,误食异物10小时,至儿科就诊。
South Africa red wine
急诊胃镜示:十二指肠球部可见异物,予异物钳取出,检查诊断:急诊异物取出术。
南昌大学第一附属医院消化内科东湖院区设有消化一区(上消化道疾病)、消化二区(下消化道和复杂性肠病)、消化三、四区(胰腺)、消化五区(肝病)、消化六区(胆道)、消化ICU。象湖院区设有消化七区(胃肠)、消化八区(胆胰)、消化九区(肝病)、消化特需病房。
近年来,随着南昌大学第一附属医院消化科硬件软件实力的不断提升,在医疗系统交口相传的好口碑中,患者人数不断上升。
今年是“十四五”计划的开年,对消化内科来说,是发展更是挑战。消化内科将继续保持奋发向上的精神风貌,与时俱进,找准发展突破口,高起点、严要求的完成各项工作,更好地服务人民、奉献社会。
消化科科室介绍
南昌大学第一附属医院消化科是江西省首个获得国家临床重点专科建设项目的临床医学学科。经过半个多世纪的发展和几代人的奋力拼搏,现已成为江西省首个集卫生部“国家临床重点专科”、教育部“211重点建设学科”、江西省“高校重点学科”、“医学领先学科”、“重点实验室”、“高水平工程技术中心”和“疾病诊疗中心”于一体的医学临床医学优势学科,进入我国医学消化专业领域的领先行列。
医疗
消化科:设有胰腺、肝病、幽门螺杆菌、炎症性肠病、功能性胃肠病和早癌内镜随访等专病门诊,一批省内外知名的消化病专家常年出诊,2019年门诊量逾33万人次,居全省之首。消化专科病房由胰腺炎、消化(胰腺)ICU、胆道、肝病和胃肠等病区组成,病床200余张,治疗特色有:重症胰腺炎的综合救治、胰胆疾病的内镜治疗、肝硬化并发症门脉高压出血等的综合治疗、炎症性肠病的规范化诊治、不明原因消化道出血、腹水的诊治、消化道早癌的诊治以及消化道肿瘤的放射介入治疗等,已成为江西省消化病疑难、危重症的诊疗中心。年出院病人逾1万人次。
消化内镜中心:面积3500m2,拥有一流的人性化设计和服务流程。设有胃肠镜诊疗室、ERCP诊疗室、超声内镜室、共聚焦内镜室、小肠镜室、双镜联合手术室、动力检查室、麻醉苏醒室、内镜清洗室和多功能会议室等;配备有高端的电子系列内镜、大型C臂、数字胃肠机、共聚焦内镜、超声内镜、胶囊内镜等国际一流的设备。开展消化道早癌的内镜系列诊治、食管静脉曲张的硬化剂注射和套扎、消化管道狭窄的扩张及支架置入术、NOTES胰腺脓肿清创术、EUS引导下穿刺及囊肿引流术、ERCP术、ESD术、POEM手术、TIPS手术以及消化系疾病的血管介入治疗等。消化内镜诊疗病例逐年攀升,2019年逾12万例次,其中无痛胃肠镜近65%,ERCP近2800例次,消化道早癌的检出率逾22%。
科研
近年来消化科先后承担了国家“十二五”重大新药创制专项、国家“863”计划、国家科技支撑计划、国家“973”前期项目以及40余项国家自然科学基金,省级项目100余项。获中华医学奖2项,教育部科技进步二等奖1项,省科技进步一等奖3项,二等奖5项,三等奖5项,省自然科学二等奖3项,省自然科学三等奖2项,省教学成果一等奖及省研究生教学成果一等奖各1项,获国家专利10余项。以第一作者或通讯作者发表SCI论文300余篇,单篇最高影响因子32.62分(Nature Medicine)。
主要获奖情况
- 2008年:江西省“医德医风示范科室”;
- 2008年:教育部“211”工程重点建设学科;
- 2010年:江西省首个获批的卫生部国家临床重点专科;
- 2011年:江西省教育系统“工人先锋号”;
- 2012年:“重症急性胰腺炎的内科综合治疗”获省科技进步一等奖及中华医 学三等奖;
- 2016年:国家卫健委授予“优质服务岗”;
- 2016年:“幽门螺杆菌致病、耐药及根除治疗的应用研究”获省科技进步一等奖及教育部科技进步二等奖;
- 2017年:中国医师协会授予“人文爱心科室”称号;
- 2017年:江西省五一巾帼标兵岗;
- 2018年:江西省“工人先锋号”;
- 2019年:全国 “工人先锋号”
- 2019年:“胃癌脉管新生的作用与调控机制”获江西省自然科学二等奖;“消化系统免疫调节及机制”获江西省自然科学二等奖。
- 2020年:“高难度消化内镜手术相关并发症防治的关键技术及临床应用”获江西省科技进步一等奖;“软式内镜清洗消毒关键技术的系列研究与推广应用”获江西省科技进步三等奖;“单磷酸腺苷激活蛋白激酶的激活及其肿瘤转移抑制作用与机制”江西省自然科学三等奖。













